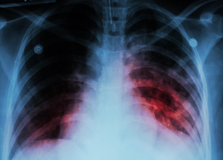
SANTA MARTA_ La Secretaría de Salud de Santa Marta informa a la comunidad que se han detectado 28 casos de tuberculosis en la ciudad, los cuales están bajo estricto seguimiento y control por parte de las autoridades sanitarias.
Gracias a los protocolos de vigilancia epidemiológica, todos los pacientes han sido diagnosticados y están recibiendo tratamiento adecuado, con el fin de evitar la propagación de la enfermedad y garantizar su recuperación.
La tuberculosis es una enfermedad infecciosa que se transmite por vía aérea, pero con detección temprana y tratamiento oportuno, puede ser controlada de manera efectiva. En este sentido, la Secretaría de Salud Distrital hace un llamado a la población para que acuda a los centros de salud en caso de presentar síntomas como tos persistente, fiebre, pérdida de peso y sudoración nocturna.
Asimismo, se reitera la importancia de adoptar medidas preventivas como: la ventilación de espacios cerrados, el uso de tapabocas en caso de síntomas respiratorios y acudir a controles médicos periódicos.
Las autoridades continúan con las acciones de: tamizaje, tratamiento y sensibilización en diferentes sectores de la ciudad para contener el avance de la enfermedad y brindar asistencia a quienes lo necesiten.
Es importante mencionar que el tratamiento para las personas que sean diagnosticadas con Tuberculosis lo costea completamente el Estado colombiano, porque el propósito es ejercer el máximo control sobre esta patología a fin de evitar el contagio masivo.
La tuberculosis implica un tratamiento permanente durante algunos meses para restablecer las condiciones de salud adecuadas a quienes la padecen.







